-
Er et ketogent kosthold bra for tarmen?
Les mer: Er et ketogent kosthold bra for tarmen?Innen ernæring/mikrobiota-forskning har det til nå generelt vært stor enighet om at høyfettdietter er skadelige for helsen, delvis på grunn av sin effekt på mikrobiotaen. Men det er faktisk flere studier som viser at mikrobiotaen er fleksibel og har evnen til å tilpasse seg ulike kosthold. Bildet er altså mer nyansert. For det første er…
-
Sprit hendene mindre!
Les mer: Sprit hendene mindre!FHI har trolig gjort en kjempetabbe ved å anbefale håndsprit som smitteverntiltak mot korona. De har bidratt til en ukultur der så og si alle spriter hendene både i tide og utide. Vi vet nå at håndsprit ikke beskytter i særlig grad mot korona, som er et luftbåren virus. MEN, håndsprit gjør at andre mikrober,…
-
Mikrobiota og høyfettkosthold
Les mer: Mikrobiota og høyfettkostholdForskningen på bakteriene i tarmen vår har vist at de har stor betydning for helsen. Utviklingen av genanalyser har ført til en revolusjon når det gjelder kunnskap om antallet bakterietyper. Nå fant man også de anaerobe bakteriene man ikke kunne dyrke. Utfordringen man står overfor i dag er å bestemme hvilken bakteriesammensetning som er best…
-
Vaksine fører til redusert nivå av vitamin D
Les mer: Vaksine fører til redusert nivå av vitamin DMan har i det siste sett at vaksinen mister effekt, selv om man har fått flere doser. Antall smittede øker i mange land i Europa samtidig så det må være noen felles mekanismer som står bak dette. Kan vaksinen miste effekten siden den bruker opp kroppens lager av vitamin D? Det som skjer er at…
-
Lekk tarm – endelig tatt på alvor
Les mer: Lekk tarm – endelig tatt på alvorI flere tiår har naturterapeuter snakket om lekk tarm som årsak til et stort spekter av sykdommer som fordøyelsesproblemer, allergier, matintoleranse, diabetes type 2, overvekt, inflammasjoner, autoimmune lidelser og til og med psykiske lidelser. Siden både immunceller og tarmbakterier utgjør så stor del av vårt immunforsvar, vil problemer som starter her påvirke nesten alle kroniske…
-
Tidlig behandling er avgjørende
Les mer: Tidlig behandling er avgjørendeVed all sykdom er det om å gjøre å starte behandling så tidlig som mulig. Når det gjelder behandling av Covid-19, så starter behandlingen først når man har blitt svært syk og legges inn til intensivbehandling. Vi mener dette er en feil strategi. Tidlig behandling øker mulighetene for å unngå alvorlig sykdom. Det finnes mye…
-
Er det mulig å være smartere enn naturen?
Les mer: Er det mulig å være smartere enn naturen?I VG kan vi i lese «18 RS-syke barn innlagt på Haukeland: − Vi mener dette er en pandemieffekt» (1). Dessverre er ikke dette overraskende. En stor del av legevitenskapen er bygget opp rundt en nesten naiv tro på at det er mulig å være smartere enn naturen. Man tror at man kan finne opp…
-
Blir du ikke bedre? Har du prøvd alt?
Les mer: Blir du ikke bedre? Har du prøvd alt?De fleste har hørt om parasitter, men tror det er noe som kun forekommer i utviklingsland. Faktisk er parasitter ofte årsaken til kroniske og uforklarlige helseproblemer, som fordøyelsesproblemer, insomnia, irritabilitet, hudproblemer og næringsmangler. Barn og voksne med svekket immunsystem har størst risiko for å få parasitter, men det kan skje oss alle. Fordi det finnes så…
-
Bytt ut kaffen med denne i høst!
Les mer: Bytt ut kaffen med denne i høst!Vi er allerede godt i gang med høsten. Dagene begynner å bli kortere, og vi er mer inne. Kroppen bruker litt tid på å tilpasse seg en ny epoke, og høsten er tiden vi er «frysepinner» og ikke helt vet hvordan vi skal kle oss. Hver årstid har sin sjarm og sine gleder, og om…
-
Lev lenger med periodisk faste
Les mer: Lev lenger med periodisk fasteGod helse gjennom hele livet, og muligheten til å øke levealderen, har opptatt mennesker i lang tid. Jakten på evig liv er for eksempel beskrevet så tidlig som for 4000 år siden i historien om kong Gilgamesh i Mesopotamia (1). Og i vår tid, hvor det ungdommelige fremmes som et ideal, hvem vil vel ikke…
-
Forbrukermakt nytter
Les mer: Forbrukermakt nytterDet er nok dessverre sjelden at matindustrien gjør noe uten at de blir tvunget til det av et regelverk, men Landsforeningen mot fordøyelsessykdommer (LMF) sammen med Marit Kolby Zinöcker har klart å få Coop til å fjerne en del omstridte tilsetningsstoffer fra egne matvarer (1). Disse tilsetningsstoffene er karragenan (E407), (natrium)karboksymetylcellulose (E466, E467) og polysorbat…
-
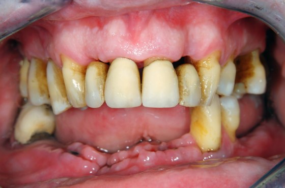
Tannkjøttbetennelse kan avgjøre om du blir sykere av Covid-19
Les mer: Tannkjøttbetennelse kan avgjøre om du blir sykere av Covid-19Covid-19 har på en eller annen måte påvirket livene våre, uansett hvor vi bor eller befinner oss i verden. For noens vedkommende har sykdommen rammet hardere enn for andres. Forskere og fagpersoner fra flere fagfelt jobber nå på spreng for å finne ut så mye som mulig om hvordan vi på best mulig måte kan…
-
Mineraler for kroppens immunforsvar
Les mer: Mineraler for kroppens immunforsvarMange vil vite hvordan de kan styrke immunforsvaret sitt, og særlig i disse dager. Det en del ikke vet, er at lave nivåer av vitaminer og mineraler kan påvirke immunforsvaret. For høye mineralnivåer eller en forstyrrelse i mineralbalansen kan gjøre det samme (4). Det vil faktisk si at immunresponsen hos hver enkelt av oss kan…
-
Hvorfor magnesium er så viktig – del 4 av 4
Les mer: Hvorfor magnesium er så viktig – del 4 av 4Da har vi kommet til den siste artikkelen om magnesium. Her skal vi se på hvor mye magnesium vi har i kostholdet vårt, hvilke magnesiumkilder vi bør inkludere og hvordan vi kan sørge for at magnesium fra maten havner inne i cellene hvor det skal gjøre jobbe sin. Fordi vi ofte må benytte tilskudd for…
-
Hvorfor magnesium er så viktig – del 3 av 4
Les mer: Hvorfor magnesium er så viktig – del 3 av 4Vi har nå kommet et stykke inn i magnesiumets verden og skal se i litt mer detalj på hvilke mangelsymptomer vi kan oppleve ved for lave nivåer av magnesium. Med alle oppgavene vi har beskrevet så langt, er det ikke overraskende at mangel på magnesium kan spille en rolle i mange av de sykdommene vi…
-
Matkvalitet i hastighetens tid
Les mer: Matkvalitet i hastighetens tidMaten vi spiser er årsaken til mange av våre livsstilssykdommer. Men vet du hva matkvalitet er og hva som defineres som trygg mat? Hva vet egentlig forbrukeren om maten som er tilgjengelig i butikken? Mange vil si at matkvalitet handler om at maten skal være trygg å spise. Men hva som defineres som trygg mat…
-
Hvorfor magnesium er så viktig – del 1 av 4
Les mer: Hvorfor magnesium er så viktig – del 1 av 4I mange år har det blitt hevdet at magnesium inngår i over 300 enzymreaksjoner, men nye studier (8) viser at det inngår i så mange som 600. «Det menneskelige magnesomet» ble i 2012 beskrevet i en artikkel (7). Man undersøkte alle proteiner i menneskekroppen for å finne bindingsmuligheter for magnesium, og antallet man kom frem…
-
Mat som gir energi i vintermørket
Les mer: Mat som gir energi i vintermørketHøsten og vinteren bringer med seg mørketid og ofte dårlig vær, det vil si «innevær». Vi har lett for å bevege oss mindre og sitte mer stille. Det er ikke optimalt for helsen vår, derfor er kosthold og livsstil spesielt viktig i mørketiden. I vårt moderne samfunn hvor vi har tilgang på all type mat…
-
11 argumenter for å beholde mva-fritaket
Les mer: 11 argumenter for å beholde mva-fritaketRegjeringen (Høyre, Venstre og Krf), med støtte fra Frp, ønsker å innføre mva på helsehjelp. Her er noen argumenter for hvorfor dette må stoppes. Hvis DU sender dette (eller dine egne argumenter, eller din egen historie) til 5-10 politikere nå i dag, så er det kanskje det som skal til for å få dem til…
-
En bedre tilnærming til akne
Les mer: En bedre tilnærming til akneI vestlige samfunn er akne nesten en universal hudsykdom og påvirker mellom 79 og 95 % av tenåringer og 40 til 54 % av voksne. Det interessante er at antropologiske studier viser at akne så og si ikke eksisterer i jeger- og sankerkulturer (1). Dette antyder at genetiske faktorer ikke er den viktigste driveren av…
-
Lag dine egne økologiske pølser
Les mer: Lag dine egne økologiske pølserDessverre har Grøstadgris bestemt seg for å slutte å produsere økologisk (1), noe som er utrolig trist. Hva er det med oss i Norge? Vi er en håpløs sinke sammenlignet med de fleste andre land når det gjelder økologisk produksjon. Det er rart siden det er økt etterspørsel fra forbrukere, men produsentene mangler evne og/eller…
-
Er poteten lavkarbo likevel?
Les mer: Er poteten lavkarbo likevel?Da lavkarbo-trenden kom for fullt til Norge rundt årtusenskiftet, ble poteten så å si bannlyst. Argumentet er at poteten inneholder så mye karbohydrater at man «faller ut» av ketose og derfor må den unngås (1). Er du en av de som spiser lavkarbo og savner litt potet, og kanskje også pasta og ris i blant,…
-
Hagtorn – hjertets venn – er endelig lovlig!
Les mer: Hagtorn – hjertets venn – er endelig lovlig!Crataegus monogyna, hagtorn, er en fantastisk plante for dem som ønsker å forebygge mot hjertesykdom. Urteplanten har ikke tidligere vært godkjent for salg i Norge, men har nå heldigvis blitt frigitt. Dette er en stor nyhet, da det ikke finnes mange andre alternativer innen naturmedisin med de spesielle egenskapene som hagtorn har. Planten burde få…
-
Charlotte har åpnet økologisk hudpleiesalong
Les mer: Charlotte har åpnet økologisk hudpleiesalongCharlotte Wollebekk har gjort akkurat det vi håper enda flere av studentene våre på Naturlig hudhelse vil gjøre – nemlig å starte sin egen grønne hudpleiesalong. I dette intervjuet deler Charlotte hvorfor hun ble interessert i naturlig hudpleie, hva hun har lært av studiet på skolen, hvordan det er å jobbe med økologisk hudpleie og…
-
Høringssvar, Forslag om merverdiavgiftsplikt
Les mer: Høringssvar, Forslag om merverdiavgiftspliktVi har i dag sendt inn følgende høringssvar, og oppfordrer terapeuter, behandlere, pasienter og andre interesserte i å gjøre det samme (1). I bunn og grunn handler det om hva slags samfunn vi ønsker. Ønsker vi et samfunn hvor man fremmer en tankegang om at «alt» skal behandles med medikamenter, og hvor man ikke lenger…
-
Pasienten i sentrum
Les mer: Pasienten i sentrumHippokrates uttalte for over 2000 år siden: «Det er viktigere å vite hva slags menneske som har en sykdom, enn å vite hva slags sykdom et menneske har». Hippokrates har sagt mye klokt, men dette er en av hans viktigste aforismer. Å behandle pasienten og ikke bare sykdommen, har alltid vært mantraet til naturmedisin, uansett…
-
Våre største endringer noensinne!
Les mer: Våre største endringer noensinne!I tillegg til alle endringene lanserer vi til høsten en ny utdanning til Urteterapeut. Det er nå åpnet opp for søknader! Vi har jobbet hardt det siste året med å gjøre endringer i samtlige av våre utdanninger. Selv om vi har veldig fornøyde studenter, har vi alltid et behov for å gjøre ting enda bedre…
-
75 år, men ikke ferdig utlært!
Les mer: 75 år, men ikke ferdig utlært!For Jarle Elvegård er ikke alder noen hindring fra å studere. Han har allerede tatt flere studier hos oss og nå nettopp startet på Treningsveileder. Jarle er 75 år og dermed en av skolens eldste studenter. Mange som henvender seg til oss er usikre på om de er for gamle til å studere, men Jarle…
-
Viktigere enn noen gang!
Les mer: Viktigere enn noen gang!De fleste har fått med seg at dersom man allerede har et helseproblem, som hjertesykdom eller diabetes, er det større risiko for å bli innlagt på sykehus eller i verste fall dø av COVID-19. Faktisk viser noe forskning at mennesker under 65 år som allerede har helseproblemer har samme risiko som mennesker over 65 år…
-
Etikk og personvern i Koronaens tid
Les mer: Etikk og personvern i Koronaens tidNorske myndigheter har tatt mange viktige grep for å sikre smittevernet under trusselen fra COVID-19-viruset. Strategien som regjeringa og Stortinget har vedtatt etter råd fra Helsedirektoratet og FHI har vært å redusere smittespredning for å ha nok akuttmedisinsk beredskap og for å skape rom og ressurser til å få mer viten om smittespredning og mulige…
-
5 gode grunner til å lage kraft
Les mer: 5 gode grunner til å lage kraftKraft er en smakfull væske som inneholder mange ulike næringsstoffer og kan ha en positiv effekt på kroppen, spesielt på fordøyelsessystemet og skjelettet. Dette er mat og medisin i ordets rette forstand. For å lage kraft, koker du bein, kjøtt og bindevev fra fisk eller dyr. Hvis du trekker det i vann sammen med litt…
-
Supermat for immunforsvaret
Les mer: Supermat for immunforsvaretEn veldig stor del av immunforsvaret befinner seg i tarmveggen vår. I tider som disse er det viktig å støtte immunsystemet slik at det klarer å gjøre jobben sin. I denne sammenhengen er det spesielt viktig å «mate» mikrobiotaen, som har mange immunrelaterte oppgaver (1). Et typisk vestlig kosthold med mye bearbeidet og ultraprosessert mat,…
-
Stress, usikkerhet, engstelse og immunforsvaret
Les mer: Stress, usikkerhet, engstelse og immunforsvaretLivet til mange mennesker i Norge er i disse dager preget av usikkerhet og engstelse. Det kan være vanskelig å holde seg oppdatert på koronakrisen uten å la det påvirke oss følelsesmessig. Siden mange sitter hjemme og har mistet kontakt med kolleger, familie og venner, er det viktig å bruke tiden vi har til rådighet…
-
Sink og Covid-19
Les mer: Sink og Covid-19En koronasmittet øyelege i Bergen uttaler til Nettavisen (24.03.20) at han har mistet/endret smak- og luktsansen. Han har fått påvist covid-19 og er selvisolert med milde symptomer. Videre i intervjuet legges det opp til at man skal se på dette som et symptom på korona og følge myndighetenes råd (1), noe vi også støtter. Jeg…
-
Forsvar – det beste angrep?
Les mer: Forsvar – det beste angrep?Det er selvfølgelig ikke slik ordspråket er, da det heter «angrep er det beste forsvar». Men, når vi nå skal se på immunsystemet vårt og hva vi kan gjøre for å bekjempe koronaviruset, er det smart å vite litt om det forsvarssystemet vi alle går og bærer på. Det er fint å kjenne sine fiender,…
-
Når placebo ikke er placebo
Les mer: Når placebo ikke er placeboVi leser ofte om forsøk som er placebokontrollert. Det betyr at en gruppe får narrepiller/medisiner som ikke inneholder virkestoffer. Da har man muligheten til å finne ut om en behandling eller intervensjon har en effekt sammenlignet med placebo. Dette høres veldig greit ut. Men det er ikke mange stoffer som ikke har en virkning på…
-
Vi ønsker Gry Hammer velkommen som lærer!
Les mer: Vi ønsker Gry Hammer velkommen som lærer!Gry Hammer har vært foreleser på Tunsberg i mange år og skal nå begynne å jobbe mer fast hos oss, blant annet som lærer ved utdanningen Kostholdsveileder. Gry er forfatter, kurs- og foredragsholder og har utgitt åtte bøker, blant annet om fermentering og tradisjonsmat. Hva var det som førte til at du ble interessert i…
-
Mineralubalanser og fordøyelse
Les mer: Mineralubalanser og fordøyelseKatrine Solbakken, lærer på kurset Hårmineralanalyse (HMA), jobbet mye med fordøyelse før hun tok i bruk HMA. Nå kombinerer hun begge deler. En HMA-rapport kan faktisk fortelle oss mye om fordøyelsen til pasienten, og dersom en pasient ikke kommer helt i mål etter å ha gjort endringene som er foreslått i HMA-rapporten, er ofte årsaken…
-
Topp 10 mest besøkte innlegg i 2019
Les mer: Topp 10 mest besøkte innlegg i 2019Ingvild spiste seg frisk fra lavt stoffskifte (publisert første gang i 2017) Marianne reverserte MS og ble symptomfri Har du for LITE magesyre? Bruker du probiotika riktig? Helt vanlig mat øker veksten av gode tarmbakterier Superkrefter og optimalvekt med faste Urter som styrker immunforsvaret Kroppen skal visstnok bare fungere av seg selv Tarmbetennelse og mat…
-
Ashwagandha – endelig godkjent i Norge!
Les mer: Ashwagandha – endelig godkjent i Norge!Den velkjente adaptogene urteplanten Ashwagandha er endelig godkjent for salg i Norge. Den var tidligere registrert som «reseptbelagt legemiddel» til tross for at planten er mye solgt og brukt over hele verden. I denne artikkelen tar biopatilærer Fride Aasen for seg bruk av denne fantastiske planten. Les også: Tusen takk for 5 år med kjempeinnsats…
-
Tusen takk for 5 år med kjempeinnsats for bransjen!
Les mer: Tusen takk for 5 år med kjempeinnsats for bransjen!Monica Tomassen deltok i pilotklassen til Helsekostveileder når studiet startet i 2015. Da hadde hun og mannen hennes, Marius Blomstervik, nettopp startet MSM Norge, og den 21. november i år hadde de 5-årsjubileum. Vi ønsker å gratulere dem med dette intervjuet. De har gjort en kjempeinnsats med å endre regelverket rundt salg av helsekostprodukter i…
-
Eteriske oljer med Gry på Terapeutdagene 2019
Les mer: Eteriske oljer med Gry på Terapeutdagene 2019Gry Hammer jobber som forfatter, kurs- og foredragsholder og har utgitt åtte bøker. Hun er også fast foreleser på skolen. Til høsten kommer hun med ny bok om hennes liv med eteriske oljer, og på Terapeutdagene skal hun holde to spennende foredrag med hovedvekt på hvordan eteriske oljer kan samhandle med det enteriske nervesystemet. Hva…
-
Oddveig Myhre til Terapeutdagene 2019
Les mer: Oddveig Myhre til Terapeutdagene 2019Oddveig Myhre er utdannet Naturopathic Medical Doctor (NMD) fra USA. Hun har drevet et eget legesenter som spesialist i nevrologisk immunologi og har sammen med en kollega skrevet fire skolebøker innenfor naturmedisin. I tillegg har hun forelest i endokrinologi, immunologi, miljøsykdommer og nevrologi i flere år. Helt kort, hvorfor reagerer menn og kvinner forskjellig på…
-
Keto og faste på Høstkonferansen
Les mer: Keto og faste på HøstkonferansenDag Viljen Poleszynski er ansvarlig redaktør for Helsemagasinet Vitenskap og fornuft og initiativtaker til Kostreform for bedre helse. Han har spist ketogent i mange år og kombinerer dette med periodisk faste og hard styrketrening. Hva legger du i begrepene keto og faste? Et ketogent kosthold innebærer at man inntar så lite karbohydrat at leveren danner…
-
CBD på Høstkonferansen
Les mer: CBD på HøstkonferansenMelissa har bodd i Spania i 17 år med mann og barn og driver Advanced Chiropractic & Physiotherapy. Hun er utdannet Kostholdsveileder TMS og har de siste årene interessert seg spesielt for CBD, og blitt CBD-frelst. Hva er det som er så bra med CBD? CBD, forkortelse for Cannabidiol, er et naturlig, kjemisk stoff vi…
-
Vi ønsker Katrine Solbakken velkommen som lærer!
Les mer: Vi ønsker Katrine Solbakken velkommen som lærer!Katrine Solbakken er vår nye lærer på kurset Hårmineralanalyse. Hun har en mastergrad fra Norges miljø- og biovitenskapelige universitet, i tillegg til å være Kostholdsveileder TMS og NLP Coach. Katrine har lang erfaring med veiledning innen matintoleransetesting og hårmineralanalyse (HMA). Hvordan ble du interessert i kosthold og helse? Jeg hadde eksem og en del vondt…






















































